Importante

En ningún caso debes iniciar un tratamiento sin antes consultar con un médico. Tu salud es lo primero.

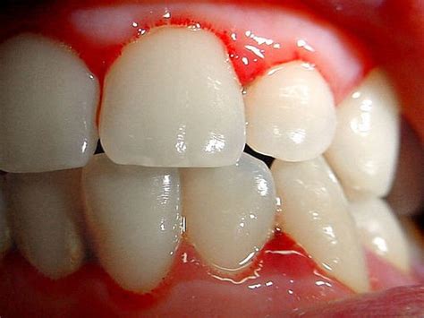
Terapia para escorbuto, con ingrediente: linaza

Se pone a despedir LINAZA en AGUA fría y se bebe cuántas veces sea posible,

Información adicional

Pueblo Indígena

Ciudad/Municipio/Estado

Código

00101979

Enfermedad

ESCORBUTO

Ingredientes

agua fría, linaza

País

Zona

Fuente Bibliográfica

Valoraciones

No hay valoraciones aún.

Sé el primero en valorar “Terapia para escorbuto, con ingrediente: linaza”

Tu dirección de correo electrónico no será publicada. Los campos obligatorios están marcados con *

SKU: 798cebccb326 Categoría: Etiquetas: , , , , ,

El uso y envío de comentarios está sujeto a nuestros Términos y Condiciones de Uso. El utilizar esta herramienta, aceptas estar de acuerdo con los mismos.

0 comentarios

Enviar un comentario

Tu dirección de correo electrónico no será publicada. Los campos obligatorios están marcados con *